Skip to content

Hello, Guest!

  • Home
  • All Topics
  • Resources
    • OSHA Program Wizards
      • Emergency Action Plan
      • Transitional Work Program
      • Personal Protective Equipment
      • Energy Control (LOTO)
      • Hazard Communication (HAZCOM)
      • Confined Space Program
      • Hearing Conservation Program
      • Ergonomics Program
      • More…
    • Program Audits
      • Confined Space
      • Emergency Planning
      • Employee Training
      • Hazard Recognition and Control
      • Hearing Conservation
      • IIPP
      • Lockout Tagout
      • Personal Protective Equipment
      • More…
    • Major Loss Source Assessment Tools
      • Amputation
      • Falls from Elevation – Construction
      • Falls from Elevation – Extension Ladders
      • Falls from Elevation – Orchard Ladder
      • Falls from Elevation – Stepladders
      • Lifting Below the Knees
      • Lifting With Arms Extended
      • More…
    • Supervisor Resources
      • California SB 553 Workplace Violence Prevention
      • New York Workplace Violence Prevention
      • Employer’s Guide HazCom
      • Employer’s Guide Lockout Tagout
      • 2026 OSHA Outreach 10 Hour Virtual Training Course
      • Forklift Train the Trainer
      • Train the Trainer
      • Business Case for Safety
      • Special Reports
      • Newsletters
      • Incident Investigations
    • Training Calendars and Bundles
      • ICW Ladder Elimination Challenge
      • Quarterly Safety Checkup
      • Training Calendars by Industry
      • Essential 29
      • Landscaping Safety
      • Fundamental 55
      • Tree Trimming
      • Towing Bundle
    • Training Engagement and Retention
      • Picture This
      • Stats and Facts
      • Fatality Reports
      • Puzzles and Games
      • Safety Checklists
    • Webinars
      • Work Comp Fraud: The Modern Fraudster
      • Returning to the Workplace During COVID-19
      • Respiratory Protection Must Haves
      • Beat the Heat: Outdoors
      • Beat the Heat: Indoors
      • More…
    • When An Injury Occurs
      • Help Injured Workers
      • Nurse Triage Hotline
      • If You’ve Been Injured
      • Transitional Work Program
      • Incident Investigation Wizard Form
      • Top 10 Tips to Lower Your Ex-Mod
  • Webinars
    • Webinars
      • Work Comp Fraud: Identifying the Modern Fraudster
      • Returning to the Workplace During COVID-19
      • Breathe Easier With These Respiratory Protection Must Haves
      • Beat the Heat: Outdoors
      • Beat the Heat: Indoors
      • Machine Guarding: 7 Questions Everyone Should Ask
      • 5 Tips for Impactful Safety Observations
      • More…
  • Ask The Expert
  • Favorites

Hello, Guest!

  • Home
  • All Topics
  • Resources
    • OSHA Program Wizards
      • Emergency Action Plan
      • Transitional Work Program
      • Personal Protective Equipment
      • Energy Control (LOTO)
      • Hazard Communication (HAZCOM)
      • Confined Space Program
      • Hearing Conservation Program
      • Ergonomics Program
      • More…
    • Program Audits
      • Confined Space
      • Emergency Planning
      • Employee Training
      • Hazard Recognition and Control
      • Hearing Conservation
      • IIPP
      • Lockout Tagout
      • Personal Protective Equipment
      • More…
    • Major Loss Source Assessment Tools
      • Amputation
      • Falls from Elevation – Construction
      • Falls from Elevation – Extension Ladders
      • Falls from Elevation – Orchard Ladder
      • Falls from Elevation – Stepladders
      • Lifting Below the Knees
      • Lifting With Arms Extended
      • More…
    • Supervisor Resources
      • California SB 553 Workplace Violence Prevention
      • New York Workplace Violence Prevention
      • Employer’s Guide HazCom
      • Employer’s Guide Lockout Tagout
      • 2026 OSHA Outreach 10 Hour Virtual Training Course
      • Forklift Train the Trainer
      • Train the Trainer
      • Business Case for Safety
      • Special Reports
      • Newsletters
      • Incident Investigations
    • Training Calendars and Bundles
      • ICW Ladder Elimination Challenge
      • Quarterly Safety Checkup
      • Training Calendars by Industry
      • Essential 29
      • Landscaping Safety
      • Fundamental 55
      • Tree Trimming
      • Towing Bundle
    • Training Engagement and Retention
      • Picture This
      • Stats and Facts
      • Fatality Reports
      • Puzzles and Games
      • Safety Checklists
    • Webinars
      • Work Comp Fraud: The Modern Fraudster
      • Returning to the Workplace During COVID-19
      • Respiratory Protection Must Haves
      • Beat the Heat: Outdoors
      • Beat the Heat: Indoors
      • More…
    • When An Injury Occurs
      • Help Injured Workers
      • Nurse Triage Hotline
      • If You’ve Been Injured
      • Transitional Work Program
      • Incident Investigation Wizard Form
      • Top 10 Tips to Lower Your Ex-Mod
  • Webinars
    • Webinars
      • Work Comp Fraud: Identifying the Modern Fraudster
      • Returning to the Workplace During COVID-19
      • Breathe Easier With These Respiratory Protection Must Haves
      • Beat the Heat: Outdoors
      • Beat the Heat: Indoors
      • Machine Guarding: 7 Questions Everyone Should Ask
      • 5 Tips for Impactful Safety Observations
      • More…
  • Ask The Expert
  • Favorites
Picture This! Carpenter Survives Nail Gun to the Heart
Picture This! Carpenter Survives Nail Gun to the Heart
Favorite Print Email

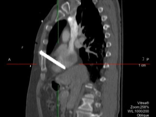
A Minnesota carpenter received much more than a splinter while building a deck at his neighbor’s home. Eugene Rakow was using a nail gun to drive 3.5-inch nails when the tool bounced back, hit his chest and fired one of the nails deep inside his heart, missing an artery by two millimeters. He was able to get to his truck and call his wife for help. Rakow underwent open heart surgery to remove the nail and is expected to make a full recovery.

 

New Safety Talks

New Safety Talks

Giovanni Tejada 22025-12-15T17:40:31+00:00
Dermal Absorption Safety Meeting Kit
Steeven Molina2025-10-22T23:34:43+00:00
Working with Dangerous Goods – Safe Handling Meeting kit
Steeven Molina2025-10-22T23:34:43+00:00
Working with Dangerous Goods – Safe Handling Meeting kit – Spanish
Steeven Molina2025-10-22T23:33:50+00:00
Working Safely with Ornamental Trees: Protecting Yourself, Your Team, and Your Trees Meeting Kit
Steeven Molina2025-10-22T23:33:48+00:00
Working Safely with Ornamental Trees: Protecting Yourself, Your Team, and Your Trees Meeting Kit – Spanish
Steeven Molina2025-10-22T23:31:25+00:00
Working Safely in Shrub, Lawn, and Garden Services Meeting Kit

New eLearning

Giovanni Tejada 22026-02-26T18:36:07+00:00
Work Comp Anti-Fraud Training – Spanish
Giovanni Tejada 22026-02-26T18:46:12+00:00
Work Comp Anti-Fraud Training
Steeven Molina2025-10-22T22:59:24+00:00
Flood Ready
Michelle Vera2025-10-14T23:29:51+00:00
Recognizing and Preventing Abuse & Neglect for Home Health Care Workers
Michelle Vera2025-10-14T23:28:38+00:00
Incident and Accident Investigation for Supervisors and Managers
Michelle Vera2025-10-14T23:26:46+00:00
Drug-Free Workplace: A Supervisor’s Guide to a Safe and Supportive Environment

Upcoming Events & Webinars

Damian Tollens2025-01-31T09:55:18+00:00
Feb 11 – Performance and Cultural Alignment
Damian Tollens2025-02-12T19:53:20+00:00
Feb 26 – Avoid Common Overhead Crane and Rigging Mistakes
Rick Tobin2024-10-24T16:57:11+00:00
Nov 13 – Defensive Driving For Changing Seasons
Rick Tobin2024-10-24T17:10:53+00:00
Nov 29 – What to Expect From a Health & Safety Inspection
Rick Tobin2024-10-24T17:13:55+00:00
Dec 5 – Top Safety Issues During the Holiday Season
Rick Tobin2024-10-24T17:13:30+00:00
Dec 19 – Safer in ’25: The 3 Pillars of Safety Culture
Vicky Pickford2018-02-13T00:00:00+00:00

See What's Trending

2026 OSHA Outreach 10 Hour Virtual Training Course

2026 OSHA Outreach 10 Hour Virtual Training Course

Emergency Lighting and Exit Sign Requirements – Quick Tips

Emergency Lighting and Exit Sign Requirements – Quick Tips

Forklift Train the Trainer Course

Forklift Train the Trainer Course

Forklift Training and Certification Instructions

Forklift Training and Certification Instructions

Upcoming Live Virtual Training Classes: Forklift Train the Trainer

Upcoming Live Virtual Training Classes: Forklift Train the Trainer

SCBA Cylinder Hydrostatic Testing – Quick Tips

SCBA Cylinder Hydrostatic Testing – Quick Tips

Contact Us

800-ICW-SAFETY (800.429.7233)SAFETYOnDemand@icwgroup.com

Additional Links

Manage eLearning
View list of learners
Help

Terms of Use | Legal Notice & Privacy Policy
©2023 ICW Group , All Rights Reserved

Page load link

 

Video Tutorials to Help You Get Started

Since it's your first time, you may want to checkout some of the video tutorials.

eLearning overview

Managing learners

Assigning courses

Reporting & Analytics

When you are ready to go, close this window.
Don't show this again
Go to Top